
Revitalize Your Smile
Revitalize your smile with expert cosmetic dentistry at Weston Dental Care. Full smile makeovers by specialist prosthodontists in Weston, FL.
About Revitalize Your Smile
Revitalize your smile with expert cosmetic dentistry at Weston Dental Care. Full smile makeovers by specialist prosthodontists in Weston, FL.
To revitalize your smile a highly technical process is required with great skills and experience to achieve a natural result. Dentists must learn the techniques in post-graduate courses and then perfect the art through extensive experience.
It takes artistic ability and extensive knowledge to design a revitalized smile. Techniques require precise measurements based upon mouth shape, gum lines, lips, and natural shape of the teeth.
Typically a treatment plan that includes one or more cosmetic dentistry procedures will be required in order to achieve the look you want.
If you are considering revitalizing your smile you owe it to yourself to consult our team of specialists. We take great pride in our impeccable reputation, our outstanding level of care and the clinical accomplishments we have made.
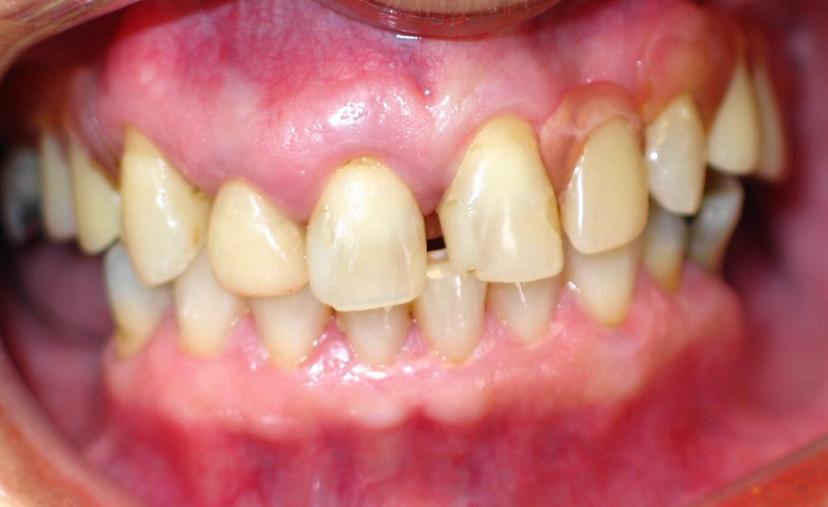
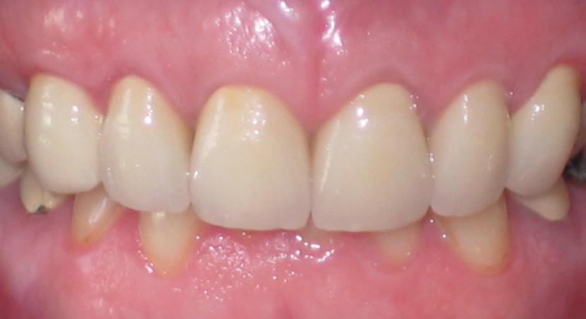
Before & After
Before
AfterCase 1 – Revitalize Your Smile at Weston Dental Care
Before
AfterCase 2 – Revitalize Your Smile at Weston Dental Care
Office Hours
Related Services
Have questions about our services?
If you need more information before you book an appointment, call us at (954) 389-1212 or click the button below.
Contact Us