
Porcelain Veneers
Transform your smile with custom porcelain veneers at Weston Dental Care. Expert prosthodontists for stunning, natural-looking results in Weston, FL.
About Porcelain Veneers
Transform your smile with custom porcelain veneers at Weston Dental Care. Expert prosthodontists for stunning, natural-looking results in Weston, FL.
Porcelain veneers are ultra-thin shells of ceramic material, which are bonded to the front of teeth. This procedure requires little or no anesthesia, and can be the ideal choice for improving the appearance of the front teeth. Porcelain veneers are placed to mask discolorations, to brighten teeth, and to improve a smile.
Results vary dramatically from dentist to dentist, depending on the skill level and amount of advanced training the dentist has received. In the hands of a prosthetic dental specialist, though, the results can be astounding.
If you would like to see if porcelain veneers are right for you, contact Dr. Andres Carbunaru for a complimentary cosmetic evaluation.
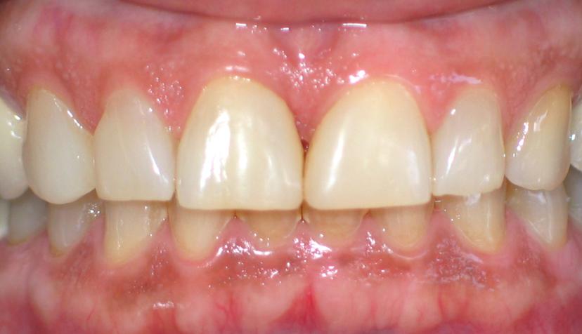
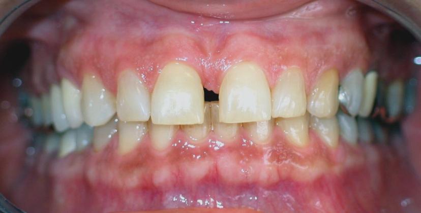
Before & After
Before
AfterCase 1 – Porcelain Veneers at Weston Dental Care
Office Hours
Related Services
Have questions about our services?
If you need more information before you book an appointment, call us at (954) 389-1212 or click the button below.
Contact Us