
Bridges
Custom dental bridges to replace missing teeth at Weston Dental Care in Weston, FL. Restore your smile, bite, and confidence permanently.
About Dental Bridges
Custom dental bridges to replace missing teeth at Weston Dental Care in Weston, FL. Restore your smile, bite, and confidence permanently.
Bridges, also known as a fixed partial denture, are used to replace one or more missing teeth. They consist of two porcelain crowns for the teeth on either side of the gap left by the missing teeth and a replacement tooth (or teeth, depending on how many are missing) in between.
At Weston Dental, our bridges are custom designed to look, feel and function just like your real teeth, restoring both your bite and your appearance. By filling the hole between your remaining teeth, bridges prevent them from gradually drifting out of alignment.
Unlike dentures, however, bridges cannot be removed. They are permanently and securely cemented into place, providing lasting support for the life of your smile.
Before & After
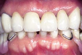
Before
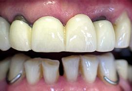
AfterCase 1 – Dental Bridges at Weston Dental Care
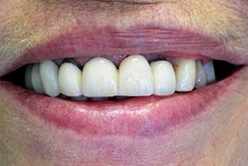
Before
AfterCase 2 – Dental Bridges at Weston Dental Care
Office Hours
Related Services
Have questions about our services?
If you need more information before you book an appointment, call us at (954) 389-1212 or click the button below.
Contact Us